2024.10.11 NEW OPEN!
医療ホワイトニングサロン「STELLA」
MI総合歯科クリニックでは院内に医療ホワイトニングサロン「STELLA」を併設いたしました!
カウンセリングは無料になりますので、まずはお気軽にご相談ください。

歯科医師全体の0.2%しかいない
日本口腔インプラント学会指導医



このたび、院長・岩本麻也が、公益社団法人 日本口腔インプラント学会より「指導医」の認定を受けました。
同学会には全国で約17,786名の会員が在籍していますが、その中で指導医に認定されているのは約1.5%のみ。
静岡県内では日本口腔インプラント学会指導医は岩本が5人目となり、三島市・長泉町では岩本が唯一の日本口腔インプラント学会指導医です。※2025年3月現在
指導医は、インプラント治療における高度な知識・経験を有し、
若手医師の教育にも貢献できる“専門家の中の専門家”ともいえる存在です。
今回の認定は、岩本の長年の努力と実績が正式に評価された証です。
今後も地域の皆さまに、安心・安全で質の高いインプラント治療をご提供できるよう努めてまいります。
Concept
M Iミニマルインターベンション大切な歯を守るために
歯への負担をできるだけ抑えるように、低侵襲(MI:ミニマルインターベンション)をモットーに治療します。できるだけ歯を削らない、できるだけ歯の神経を残す、そして生涯ずっとご自分の歯でお過ごしいただき、QOL(生活の質)を落とさずにすむようなサポートを。それはマイナス1歳から生涯を終えるまで続きます。
M Iミニマル
インターベーション大切な歯を
守るために
DOCTOR :理事長 岩本 麻也
DOCTOR :理事長 岩本 麻也
通いたくなる「ホスピタリティ」を
歯科医院に
MI総合歯科クリニックのWEBサイトにお越しいただき、誠にありがとうございます。静岡県駿東郡長泉町の歯医者で、三島駅・下土狩駅近くにあり、ホテルのようなリラックス空間の中、アロマテラピーも取り入れながら、治療に専念していただける環境を整えております。
インプラント治療の豊富な経験と実績をいかし、さらにMI治療を基本に、虫歯や歯周病の保険診療だけでなく、入れ歯治療、メタルフリー治療や歯科口腔外科、矯正歯科、小児歯科など歯科全般に幅広く対応いたします。またお口まわりの美しさと健康のための医療ホワイトニングもございますので、お口まわりのお悩みは何でもお気軽にご相談ください。
「ホスピタリティ」精神を忘れずに、患者様をお迎えいたします。
院内は、車いすやベビーカーでもスムーズに移動できるバリアフリー設計です。個室の診療室まで、そのままお入りいただけます。プライバシーにも配慮して、予防ケアルームやカウンセリングルームもご用意しています。
治療だけでなく予防やメインテナンスを含めたトータルな口腔ケアを行う歯科医院です。患者様のお口の健康を末長くサポートし、いつまでもご自身の歯でお過ごしいただき、年齢を重ねても生活の質(QOL)を高く保っていただくことを目指します。
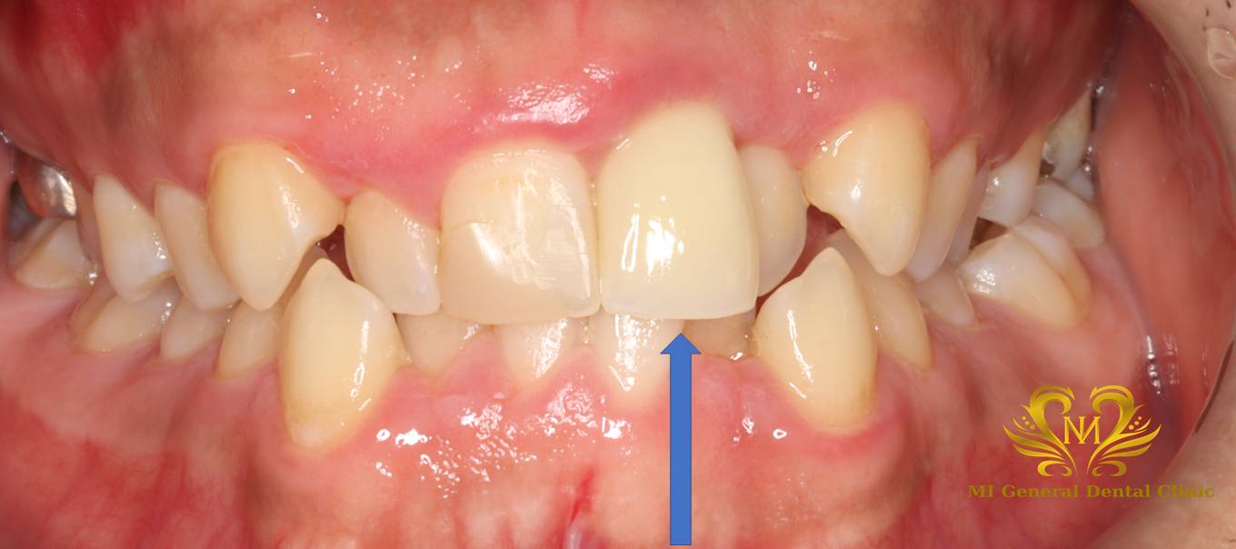
CASE : 01削った歯をキレイにしたい―
METAL FREE
あなたの銀歯は大丈夫?
虫歯治療で銀歯を入れていませんか? 保険診療なので比較的安価に失った部分の歯の機能回復ができますが、目立ちやすかったり、金属アレルギーの心配があったり、経年によって劣化して虫歯にかかりやすかったりとデメリットもあります。気になる方におすすめなのがメタルフリー治療です。より自然に見えて美しい歯を手に入れませんか?
FEATURES OF METAL FREE
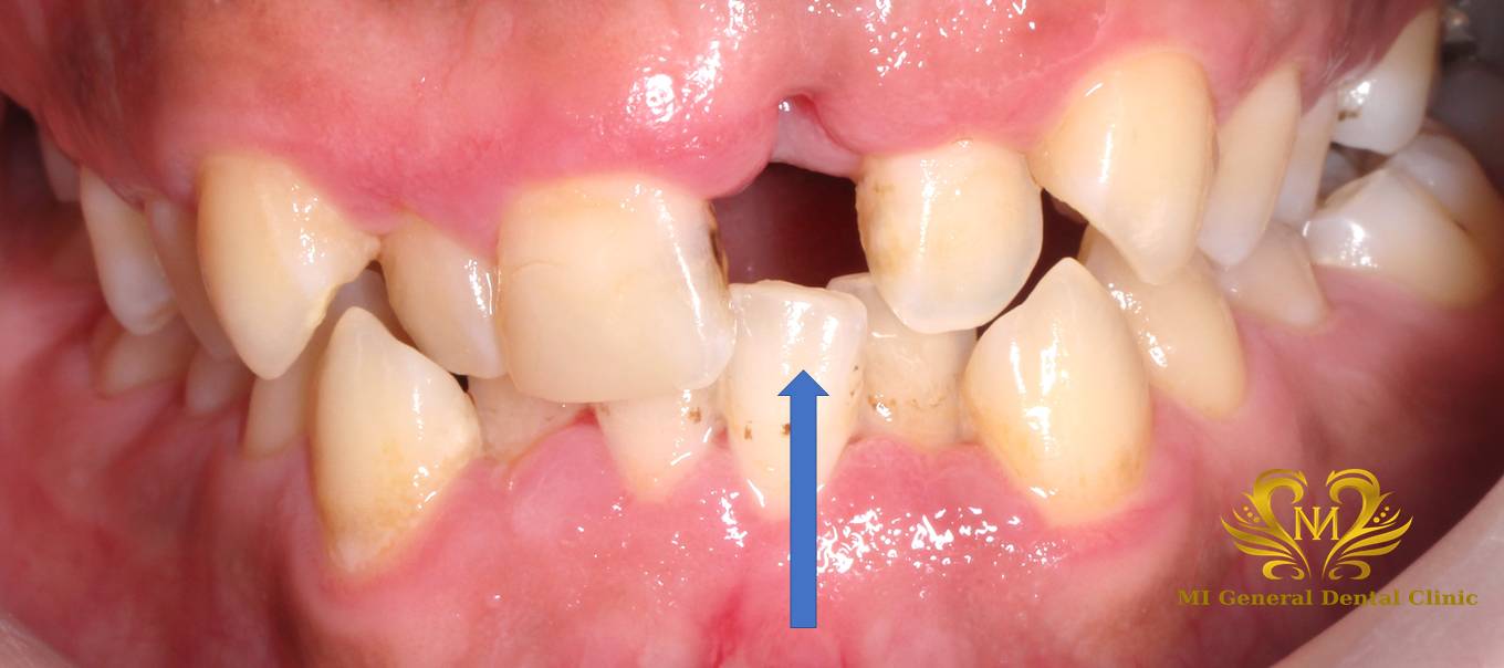
CASE : 02歯を失ってしまった―
IMPLANT
専門ドクターによる信頼の治療
失った歯の機能回復の方法のひとつがインプラント治療です。人工歯根をあごの骨に埋め込んで支台にするのでしっかりグッと咬みしめられます。当院ではインプラント治療の経験と実績が豊富で、講習会でも講師を頼まれる歯科医師がインプラント治療を担当します。MI治療をもとにしたインプラント治療のご提供も可能です。
ストリークレーザーとPOICウォーターを用いてMI治療につなげます。レーザー治療器の活用で、これまでの治療よりも負担を小さく抑え、さらに早期回復が期待できます。またお口の中の汚れ(たんぱく質)を分解、洗浄し、除菌する特殊な水のPOICウォーターも活用し治療や予防効果を高めるのです。
REASON:01STREAK LASER
REASON:02POIC WATER
POINT:01ホスピタリティNO.1を目指した
通いやすい医院体制
歯科全般幅広く対応します。ホテルのようなリラックス空間のバリアフリーの院内ですので、どなたも移動がスムーズです。
POINT:02口腔ケアのプロフェッショナル
による予防処置
歯科衛生士による毎日のセルフケアのアドバイスや定期的な歯科医院での口腔ケアがお口のトラブル予防に有効です。
POINT:03精度の高い治療のために
惜しみない設備の導入
医療技術は日々めざましく進歩します。優れた設備や技術を積極的に導入し、できるだけ患者様の治療負担を減らします。
STERILIZATION
CYCLEヨーロッパ水準の滅菌サイクル
院内感染の心配がない衛生的で清潔な環境のためのさまざまな工夫をしています。それは医療施設として当然のシステムです。患者様はもちろん、ご家族や医院スタッフの健康にもつながります。








