Index
Trouble
インプラント治療のお悩み
- インプラント治療は痛いの?
- 治療期間はどのくらいかかるの?
- インプラント治療の1本当たりにかかる費用は?
- インプラント治療の失敗した時のリスクは?
- インプラントの寿命は何年?
- 噛む力・発音への影響は?
当院では、理事長が日本口腔インプラント学会指導医・専門医の認定を受けており、さらに複数の歯科衛生士が日本口腔インプラント学会 専門歯科衛生士の資格を持つ、経験豊富なスタッフが在籍しています。
その環境を活かし、当院の歯科衛生士の全員が日本口腔インプラント学会の専門歯科衛生士の資格を取得できるように教育し、一人ひとりの患者様にさらに質の高い治療をご提供したいと考えております。
歯科医師全体の0.2%しかいない
日本口腔インプラント学会指導医


このたび、理事長・岩本麻也が、公益社団法人 日本口腔インプラント学会より「指導医」の認定を受けました。
同学会には全国で約17,786名の会員が在籍していますが、その中で指導医に認定されているのは約1.5%のみ。
静岡県内では日本口腔インプラント学会指導医は岩本が5人目となり、三島市・長泉町では岩本が唯一の日本口腔インプラント学会指導医です。※2025年3月現在
指導医は、インプラント治療における高度な知識・経験を有し、若手医師の教育にも貢献できる“専門家の中の専門家”ともいえる存在です。
今回の認定は、岩本の長年の努力と実績が正式に評価された証です。
今後も地域の皆様に、安心・安全で質の高いインプラント治療をご提供できるよう努めてまいります。
骨が少ない方でも安心な
オステオプッシャー・ソケットリフト
ほとんど骨を削らず
インプラントを入れられる
オステオプッシャー
独自の技術を使用して、骨量が不足している患者様に安全かつ有効なインプラント治療を提供することが可能となります。従来の治療法では難しかったり、リスクが高かったりした骨量不足の患者様への対応において、効果的に骨量を増やすことできます。
負担をできるだけ抑える
ソケットリフト
ソケットリフトは、上顎にインプラントを埋入する際に、骨の高さが5ミリ以上あるものの、インプラントを固定するには高さが不足している場合に使用される治療法です。この手法では、上顎の上部にある上顎洞という空洞に骨を形成し、十分な骨量を確保してインプラントを安定させます。
治療期間を短縮
プラズマ照射で
インプラント体を
アンチエイジング
インプラント体にプラズマを照射し、炭化水素という汚染物質をインプラント表面から取り除き、インプラントの親水性を向上させ、インプラントと骨の結合(オッセオインテグレーション)をより強固なものにします。
安心な治療を心がける
日本口腔
インプラント学会
指導医・専門医
インプラント治療に関する知識や技術、研鑽を積んだ歯科医師に対して、その専門性を確認するために、日本口腔インプラント学会が指導医・専門医の資格認定制度を設けています。この制度では、診査や試験を実施し、合格した歯科医師を指導医や専門医として認定します。
指導医や専門医になるには、学会に所属するだけでなく、日々の診療を行いながら学会や勉強会で症例発表を続けるなどの実績が必要です。そのため、この資格は全てのインプラント治療を行う歯科医師が持つわけではなく、専門的な知識やスキルを持つ医師のみが認定されます。
綿密な検査で精度の高い治療
歯科用CTによる
シミュレーション
インプラント埋入位置のシミュレーションをすることで安全性が高く、細部まで配慮した治療計画を実現します。
そのため、精密な診断とシミュレーションにより治療の正確性と安全性を高めます。
サージカルガイド
ガイデッドサージェリー
ガイデッドサージェリーは、3D画像を元にした手術計画で、テンプレートを使用してインプラント埋入を行う方法です。周囲組織を傷つけるリスクが減り、手術後の痛みや腫れも少なくなります。
清潔で安心な専用治療室で手術
徹底した滅菌環境
専用の治療室における徹底した滅菌と衛生管理。患者様が最も安全で清潔な環境での治療を受けられるよう配慮しています。
しっかり噛めることを最優先に
複数本数埋入による
インプラント設計
三島・長泉町の歯医者「MI総合歯科クリニック」では、長く安心してしっかり噛めることを最優先に、複数本数埋入によるインプラント設計を行っています。一般的に、最小限の本数で支える治療All-on-4という方法が用いられるケースもありますが、噛む力が一部に集中すると負担が大きくなり、トラブルにつながる可能性があります。
そこで当院では、骨の状態や噛み合わせを詳しく分析し、噛む力が均等に分散できるよう、適切な本数で支える設計を行っています。複数本で支えることで、もし1本に問題が起きても他のインプラントが機能を補うため、治療全体の安定性が保たれます。(当院では無歯顎の場合は6〜8本のインプラント体の埋入を基本としています)結果として、強く、長く、安心して噛める口腔環境を守ることにつながります。
ある患者様のインプラント治療
前歯だけがあり、グラグラしていてご飯が食べられない。
今まで長く通院していた歯科医院はインプラントをやっていなく、知人の紹介でMI総合歯科クリニックへ受診いたしました。
治療前 上顎
かかりつけ歯医者ではインプラント治療が出来ず途方に暮れていた患者様
患者様のお話によると、以前は義歯を使用していたものの、コロナ禍でマスクを着用する機会が増えたこともあり、義歯が合わず、次第に装着しなくなったとのことです。そのため、人前で笑うことができなくなっていたそうです。
インプラントについては、3年ほど前から話を聞き、検討されていたと伺っています。
近所にインプラント治療を行っていて通いやすい歯科医院もあった一方で、30年ほど通っていたかかりつけの歯科医院ではインプラント治療を行っておらず、どこで治療を受けるか悩まれていたとのことです。
そのような中、知人からMI総合歯科クリニックを紹介され、家族の勧めもあって、少し遠方ではあるものの、思い切って来院されたそうです。
治療前 下顎
丁寧なカウンセリングで
患者様に最適なインプラント治療を提案
検査結果をもとに現在の口腔内の状況を確認させていただき、今後の治療方針・計画などを丁寧にご説明いたします。
患者様は上顎の前歯は抜歯の可能性も高かったですが、状態を把握し、最適なインプラント治療をご提案いたしました。
治療後 上顎
できるだけ負担の少ない治療
上顎の前歯は抜歯の可能性も高かったがギリギリまで保存を試みて、上顎の左右の奥歯を骨造成を行いインプラント治療を行い、
並行して虫歯の治療や歯周病治療を行いました。
そして、下顎の左右の奥歯にもインプラント治療をすることで他の弱っている歯の力の分散と保護をしました。
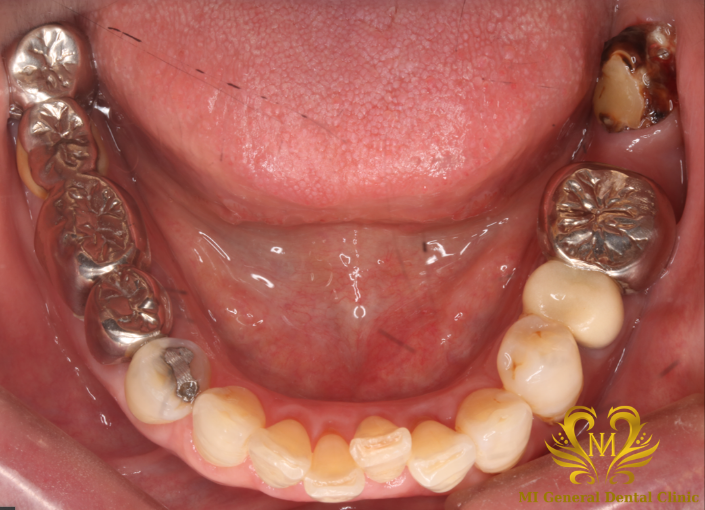
治療後 下顎
人生観・世界観が変わった患者様
患者さまからは、「人生観というか、世界観が変わりました。自分の歯と同じくらいの使用感です」とのお声をいただいています。
また、スタッフについても「皆さんとても感じが良く、通院は少し遠かったものの、一度も来るのが嫌だと思うことなく通えました」とお話しされていました。
現在はマスクを外して笑えるようになり、ご家族と一緒に外食にも行けるようになったそうです。
「歯は本当に大事だと実感しました。車はおんぼろでもいいから、これからは歯を大切にしていきたいと思います」とのお言葉もあり、今後は前歯の治療も検討したいとお話しされています。
治療を終えて・・・
治療中の奥歯のない期間も患者様も頑張って頂き、最終的にセラミックスの上部構造が入ってからには、何でも食べれて、早くMI総合歯科クリニックに来ればよかった!!車より歯が大切!!などと大変喜んで頂きました。
私としても非常に嬉しく、治療をさせていただいた甲斐がありました。
| 主訴 |
義歯を使っていたが、コロナ禍でマスクをしていたこともあり、義歯があわずはめていなかった。そのため、人前で笑うことができなかった。
インプラントの話は3年位前から聞いて考えていた。 |
|---|---|
| 治療内容 |
骨造成後にインプラント体の埋入を行い、インプラント体に負荷をかける仮歯にかえて、調整を行い、セラミックスの被せ物の型採りを行い、完成です。 |
| 患者様の年齢 | 70代 |
| 患者様の性別 | 女性 |
| 治療期間 | 1年 |
| 治療回数 | 31回 |
| 治療費 | 190万円+税(税込209万円) |
| 治療で得られるメリット |
|
| 治療する際に起こる リスク・副作用 |
|
ある患者様のインプラント治療
前歯がぐらぐらになり抜歯となり仮の歯の状態だったので、インプラント治療を検討しMI総合歯科クリニックへ受診いたしました。
治療前
他院では骨が薄くインプラント治療は難しいと言われていた患者様
骨が薄いため骨造成後にインプラント体の埋入を行い、仮歯の調整を行い、セラミックスの被せ物の型採りを行い、完成です。
※最初のうちは周りに歯に仮歯を接着して支えてもらい、見た目の問題は回避しました。
治療後
骨造成処置でインプラント治療をご提案
インプラント治療及びセラミックスの被せ物をすることにより、咬合の回復と見た目が美しくなりました。
治療を終えて・・・
前歯は非常にテクニックが必要な部位です。骨が少なく、見た目への配慮も特に重要となります。この方は前歯のスペースが左右差があり、自然な仕上がりになるように仮歯で調整しながら、審美的に満足出来るよう最終上部構造を装着しました。非常に難易度の高いケースでしたが患者さんも非常に満足して頂きました。
| 主訴 |
仮の歯の状態だったので、インプラント処置を検討し当院を受診された。 |
|---|---|
| 治療内容 |
骨造成後にインプラント体の埋入を行い、インプラント体に負担をかける仮歯にかえて、調整を行い、セラミックスの被せ物の型採りを行い、完成です。 ※最初のうちは周りに歯に仮歯を接着して支えてもらい、見た目の問題は回避しました。 |
| 患者様の年齢 | 30代 |
| 患者様の性別 | 男性 |
| 治療期間 | 7ヶ月 |
| 治療回数 | 9回 |
| 治療費 | 46万円+税(税込50.6万円) |
| 治療で得られるメリット |
・周囲の歯を削らなくて良い |
| 治療する際に起こる リスク・副作用 |
・外科治療が必要 |
01
初診
02
検査
03
カウンセリング
04
治療計画
お見積り
05
治療
06
予防・定期検診
01
初診
02
検査
03
カウンセリング
04
治療計画
お見積り
05
治療
06
予防・定期検診
インプラント治療費用
費用 44万円(税込)
インプラント体
(手術費・投薬込み)
上部構造
(オールセラミック・
オールジルコニアクラウン)
| CT、パノラマ検査費 (※外部持ち出しの場合は22,000円) |
11,000円 |
|---|---|
| インプラント体(手術費、投薬込み) 1本 | 308,000円 |
|
上部構造(オールセラミックスクラウン、 オールジルコニアクラウン) |
110,000円 |
| 骨造成(サイナスリフト、 ソケットリフト、GBR) |
110,000円 |
| 仮歯 1本 | 11,000円 |
| 追加の投薬 | 5,500円 |
| 磁性アタッチメント(1個) | 110,000円 |
| マグネットデンチャー (磁性アタッチメント2個まで) |
385,000円 |
| インプラント定期検診 | 5,500円 |
| 2回目以降のカウンセリング・セカンドオピニオン30分 | 5,500円 |
※表示価格はすべて税込みです
当院のインプラント治療は“10年保証”です
当院はガイドデントのインプラント10年保証の認定を受けた医療機関です。
この認定医療機関にて受けられたインプラント治療において事故や問題が発生しても、保証期間内は再治療の保証が受けられます。患者様が転居なさった場合も認定医療機関のネットワークにより、転居先での保証が可能です。10年保証を受けていただくためには定期検診の受診が必須ですのでご了承ください。
インプラント10年保証の詳細については株式会社ガイドデントホームページをご確認ください。
ガイドデントは選択制となり、医院保証は3年(無料)その後、7年保証はガイドデントで費用がかかります。
インプラント専門の衛生士が
予防を担当します
インプラントはケアと定期検診をしっかり行えば、継続的に持続性があります。しかし、ケアを怠るとせっかく入れたインプラントが抜け落ちてしまうことがあり、とくにインプラント周辺に発生する「インプラント歯周炎」には気をつけなければなりません。インプラントは人工素材ですので虫歯などにはなりませんが、埋め込まれたご自身の身体には、さまざまなトラブルが発生する可能性があります。
いつまでも快適にインプラントを使用し続けるためには、毎日のブラッシングによるセルフケアが大切です。そして、歯医者による定期検診やクリーニングもあわせて受けるようにしましょう。
A. インプラント手術は局所麻酔を使用して行うため、手術中の痛みはほとんどありません。術後には軽い不快感や腫れが生じることがありますが、鎮痛剤とクリーニングにより痛みを軽減することできます。
A. インプラントの治療期間は患者様の口腔内の状態や治療計画により異なりますが、一般的には数ヶ月から半年程度かかることが多いです。治療計画は初診時にご相談させていただきます。
A. インプラント治療にかかる費用は、歯の本数や使用するインプラントの種類、必要な追加手術などによって変わります。具体的な見積もりについては、診断後にお渡しいたします。
A. インプラントを長期的に維持させるためには、定期検診とクリーニングが最も重要です。ご自宅でのブラッシングやフロス使用も推奨します。
A.
インプラント治療に特定の年齢制限はありません。
成長期のお子様や特定の健康状態を持つ方には適用できない場合があります。
詳細は診断を行い判断いたします。
