インプラント治療|三島・長泉町の歯医者「MI総合歯科クリニック」

インプラント治療

MI総合歯科クリニックからのお知らせです

静岡県駿東郡長泉町の歯医者で、三島駅・下土狩駅近くの「MI総合歯科クリニック」は、できるだけ歯を削らず、できるだけ歯の神経を残し、できるだけ歯や患者様に負担をかけないような治療をご提供します。インプラント治療の経験と実績が豊富な歯科医師とともに歯科衛生士などスタッフが連携して、歯科全般に幅広く対応しみなさんのお口の健康を末長くサポートいたします。こちらでは当院のお知らせやブログ、症例紹介や学術報告(一覧)をご紹介しますのでご覧ください。

インプラント治療

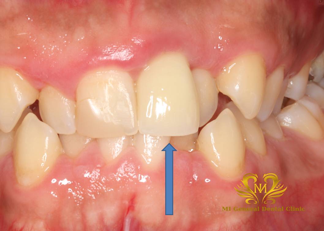
左上前歯のインプラント/静岡県/長泉町/三島市

治療前
治療後
治療期間
10ヵ月
治療費
51万円
詳細はこちら

インプラント治療

左下奥歯のインプラント/静岡県/長泉町/三島市

治療前
治療後
治療期間
5ヵ月
治療費
44万円
詳細はこちら

インプラント治療

右上奥歯のインプラント治療

治療前
治療後
治療期間
7ヵ月
治療費
7回
詳細はこちら

インプラント治療

上顎前歯部のインプラント治療

治療前
治療後
治療期間
2年
治療費
11回
詳細はこちら

インプラント治療

左上奥歯のインプラント治療

治療前
治療後
治療期間
1年
治療費
11回
詳細はこちら

インプラント治療

右上奥歯のインプラント治療

治療前
治療後
治療期間
1年
治療費
12回
詳細はこちら

インプラント治療

総入れ歯の方の下顎オーバーデンチャー(マグネット)

治療前
治療後
治療期間
4ヵ月
治療費
9回
詳細はこちら

インプラント治療

奥歯のインプラント治療

治療前
治療後
治療期間
5か月
治療費
10回
詳細はこちら

インプラント治療

前歯のインプラント治療

治療前
治療後
治療期間
7ヵ月
治療費
9回
詳細はこちら

インプラント治療

下顎オーバーデンチャー(マグネット)

治療前
治療後
治療期間
10か月
詳細はこちら
三島の歯医者「MI総合歯科クリニック」
初診・定期検診 WEB予約 TEL お電話でのお問い合わせ 当日予約はお電話で
ご連絡ください
Tel. 055-988-1185
診療
カレンダー