左上前歯のインプラント/静岡県/長泉町/三島市|三島・長泉町の歯医者「MI総合歯科クリニック」のインプラント治療

インプラント治療

左上前歯のインプラント/静岡県/長泉町/三島市

事故により前歯を無くし、インプラント治療をご希望で来院されたケース

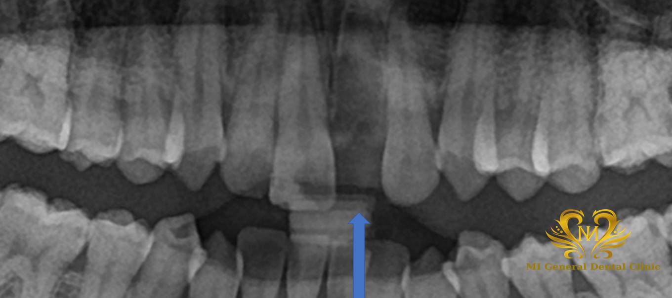
治療前

治療前

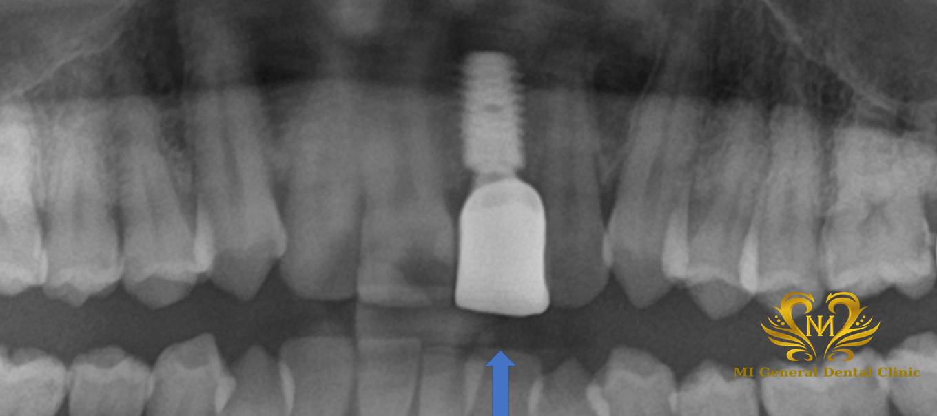
治療後

治療後

事故により左上前歯を完全脱臼し、インプラントについてのお話を希望され来院。

初診時ご自身の歯を仮歯として使えるよう調整をし、インプラントについてコンサル準備を進めた。

主訴

事故により左上前歯を完全脱臼し、インプラントについてのお話を希望され来院。
初診時ご自身の歯を仮歯として使えるよう調整をし、インプラントについてコンサル準備を進めた。

治療内容

初診時には、現在のお口の状態を詳しく確認するため、レントゲン撮影や口腔内の診査を行いました。当院では検査結果をもとに、後日あらためて院長によるコンサルテーション(治療説明)のお時間を設けています。

コンサルテーションでは、検査結果をもとに現在の状態を説明し、治療の流れや期間についてお話しします。

今回のケースでは、左上前歯1本のインプラント治療または、両隣の歯を支台としブリッジを入れるまたは、ノンクラスプの義歯をご提案しました。
その後患者様は「長く使いたいので」とのことでインプラント治療を選択され、インプラント手術を行いました。

今回の手術後は、インプラントが顎の骨としっかり結合するまで約4か月間待ちます。
4か月後に、インプラントが骨にしっかり固定されていることを確認したうえで、再度仮歯を作製。
仮歯の状態で生活していただくことにより形の要望についてイメージをしていただき、その後、実際の被せ物のかたどりをします。
完成した被せ物を装着し、しっかり噛める状態に回復しました。

今回のケースでは、初診から約10か月で最終的な被せ物まで治療が完了しました。

*治療後患者さんより*
とてもスムーズに治療を受けることができたので良かった。

患者様の年齢

27歳

患者様の性別

男性

治療期間

10ヵ月

治療費

51万円

治療で得られるメリット

*隣の健康な歯を削らずに済む
*前歯の自然な見た目を再現しやすい
*固定式でしっかり噛める
*取り外しの手間がない
*長期的に自然な口元を維持しやすい

特に前歯は、見た目だけでなく、会話・食事・表情にも大きく関わる大切な部位です。

交通事故などで前歯を失ってしまった場合は、見た目を補うだけでなく、将来的に隣の歯を守ること、骨や歯ぐきの状態を維持すること、自然に笑える口元を取り戻すことまで考えた治療選択が大切です。

治療する際に起こるリスク・副作用

*費用が高額
 インプラント治療は他の歯科治療に比べて高額であり、保険適用外の場合が多いため、経済的な負担が大きくなることがあります。
*治療期間が長い
 インプラント手術は数回にわたる通院が必要であり、治癒期間も含めると数ヶ月から1年ほどかかることがあります。
*手術のリスク
 外科手術であるため、感染症や神経損傷、出血などのリスクがあります。特に上顎では副鼻腔に近いため、慎重な手術が求められます。
*メンテナンスの必要性
 インプラントも天然歯と同様に、定期的なメンテナンスと清掃が必要です。適切なケアを怠ると、周囲の組織に炎症が生じることがあります(インプラント周囲炎)

監修者情報

MI総合歯科クリニック

理事長 岩本 麻也

日本大学松戸歯学部卒業後、インプラント治療を中心に臨床経験を重ねる。日本口腔インプラント学会指導医・専門医として診療に携わるとともに、学会や研修会などで多数の講演実績を持ち、歯科医療の発展と後進育成に取り組んでいる。

理事長プロフィールを見る

三島・長泉町の歯医者MI総合歯科クリニック

〒411-0943
静岡県駿東郡長泉町下土狩181-4

TEL:055-988-1185(患者様専用)

月・水・金9:00~13:00 / 14:30~18:00

9:00~13:00 / 14:00~18:00

木・土9:00~13:00 / 14:00~17:30

休診日日曜・祝日

三島の歯医者「MI総合歯科クリニック」
初診・定期検診 WEB予約 TEL お電話でのお問い合わせ 当日予約はお電話で
ご連絡ください
Tel. 055-988-1185
診療
カレンダー