奥歯のインプラント治療|三島・長泉町の歯医者「MI総合歯科クリニック」のインプラント治療

インプラント治療

奥歯のインプラント治療

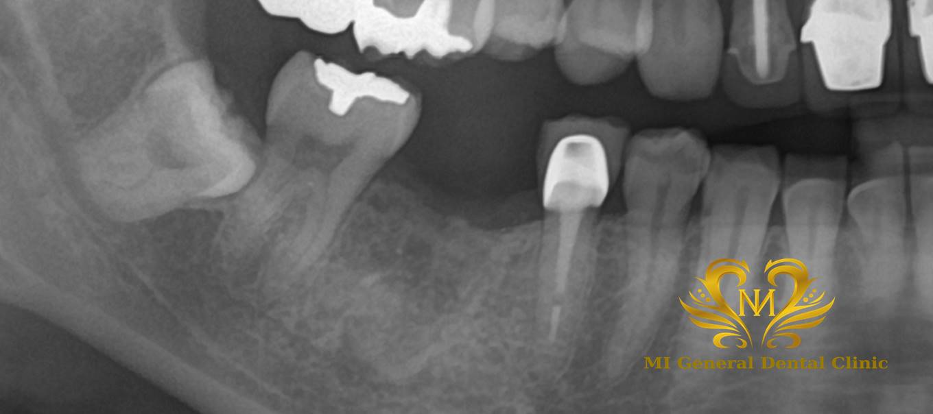
治療前

治療前

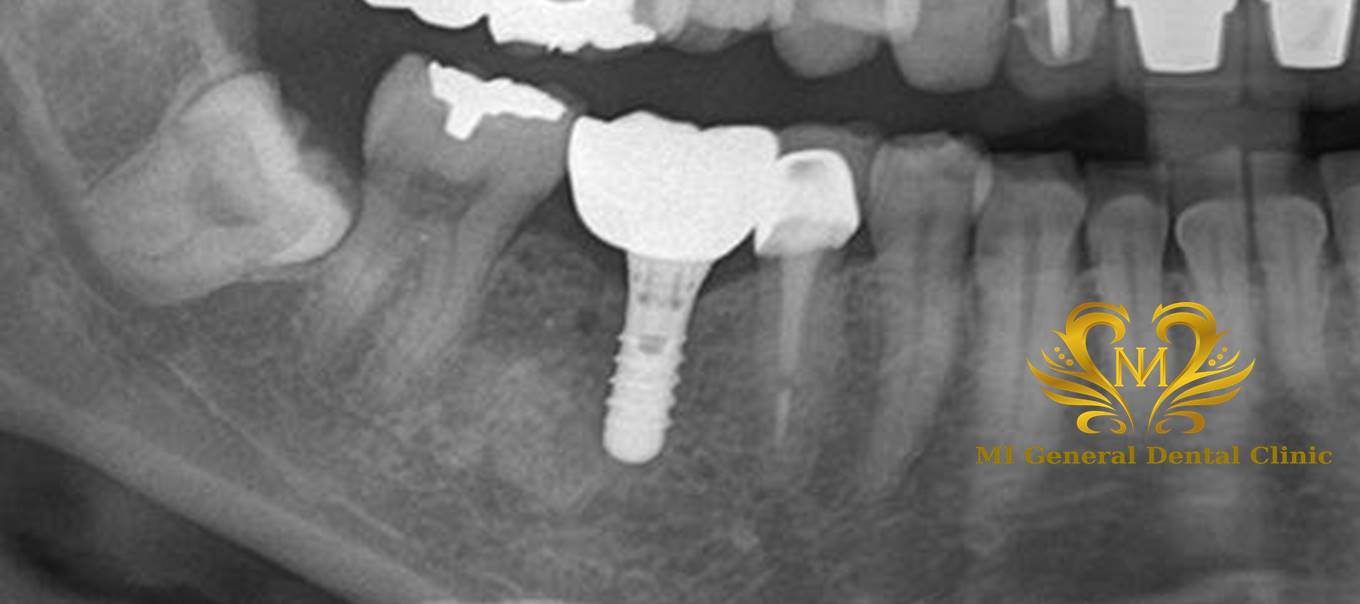
治療後

治療後

右下の奥歯の歯がありません。

インプラント治療及びセラミックスによって咬合回復しました。

奥歯のインプラント治療
奥歯のインプラント治療
奥歯のインプラント治療
奥歯のインプラント治療

右下の奥歯が1本ありません。

インプラント体が入りしっかり噛むことが出来ます。

主訴

歯を抜歯して噛みにくい。

治療内容

欠損補綴の説明(インプラント、ブリッジ、入れ歯)をし、インプラント治療を希望された為、右下の奥歯にインプラント体埋入後に、骨とインプラント体の定着を待ちセラミックスを被せました。

患者様の年齢

49歳

患者様の性別

女性

治療期間

4ヵ月

治療で得られるメリット

噛めるようになる。(咬合回復)

周囲の歯を削らなくて良い。

周囲の歯に負担をかけなくて良い、

見た目も良い。

治療する際に起こるリスク・副作用

外科治療が必要。自費治療。治療期間が長い。腫れ痛みが出ることがある。物が詰まりやすくなることがある。

三島・長泉町の歯医者MI総合歯科クリニック

〒411-0943
静岡県駿東郡長泉町下土狩181-4

TEL:055-988-1185(患者様専用)

月・水・金9:00~13:00 / 14:30~18:00

9:00~13:00 / 14:00~18:00

木・土9:00~13:00 / 14:00~17:30

休診日日曜・祝日

三島の歯医者「MI総合歯科クリニック」
初診・定期検診 WEB予約 TEL お電話でのお問い合わせ 当日予約はお電話で
ご連絡ください
Tel. 055-988-1185
診療
カレンダー