前歯の多数歯欠損のインプラント症例
治療前
前歯が複数なく長いブリッジが入っていましたが、支えている歯が痛み出したためブリッジの除去ならびに欠損部分のインプラント治療を行う事としました。
治療後
残せる周りの天然歯は根管治療を行い、前歯はインプラント治療を行いました。機能的にも審美的にも綺麗な前歯が入りました。
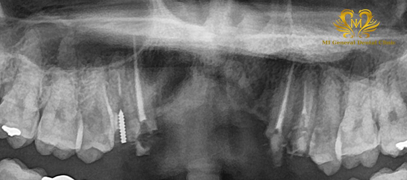
治療前
前歯4本が欠損しています。
治療後
インプラント体とセラミックスの前歯のセット後の状態です。
| 主訴 | 前歯のブリッジの支えが痛い。負担をなくしたい。前歯で噛みたい。 |
|---|---|
| 治療内容 | 前歯のブリッジの支えが痛くなり来院。ブリッジを除去し、仮歯に置き換えて根管治療。その後、前歯4本欠損のインプラント治療及び骨造成。その後、仮歯の調整等をしてセラミックスのインプラント上部構造装着。 |
| 患者様の年齢 | 55歳 |
| 患者様の性別 | 男性 |
| 治療期間 | 10ヶ月 |
| 治療費 | 144万円+消費税 |
| 治療で得られるメリット | インプラント治療をすることで長いブリッジによる周囲の歯の負担軽減。しっかり噛めるよになりました。見た目も綺麗になりました。 |
| 治療する際に起こる リスク・副作用 |
治療期間が長い。外科的な処置が伴う。自費治療です。晴れたり痛みが出ることがあります。 |






