上顎前歯のインプラント(ブリッジ)|三島・長泉町の歯医者「MI総合歯科クリニック」のインプラント治療

インプラント治療

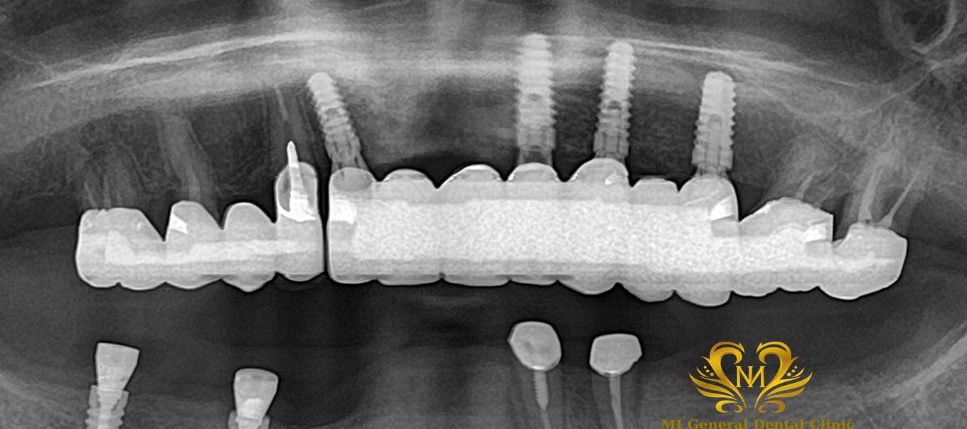
上顎前歯のインプラント(ブリッジ)

治療前

治療前

治療後

治療後

長年上顎に入れ歯を入れていて、上手く食事が出来なかった方です。

上顎前歯のインプラント(ブリッジ)
上顎前歯のインプラント(ブリッジ)
上顎前歯のインプラント(ブリッジ)
上顎前歯のインプラント(ブリッジ)
主訴

噛めない。見た目が悪い。入れ歯が違和感が大きい。

患者様の年齢

60代

患者様の性別

女性

治療期間

10ヶ月

治療で得られるメリット

噛めるようになる。(咬合回復)

見た目が良い。(審美回復)

笑顔に自信が持てる。

治療する際に起こるリスク・副作用

外科治療が必要。自費治療。治療期間が長い。腫れ痛みが出ることがある。物が詰まりやすくなることがある。歯がない時より噛めるため、顎関節症状が出ることがある。

三島・長泉町の歯医者MI総合歯科クリニック

〒411-0943
静岡県駿東郡長泉町下土狩181-4

TEL:055-988-1185(患者様専用)

月・水・金9:00~13:00 / 14:30~18:00

9:00~13:00 / 14:00~18:00

木・土9:00~13:00 / 14:00~17:30

休診日日曜・祝日

三島の歯医者「MI総合歯科クリニック」
初診・定期検診 WEB予約 TEL お電話でのお問い合わせ 当日予約はお電話で
ご連絡ください
Tel. 055-988-1185
診療
カレンダー