オフィスホワイトニング 1回|三島・長泉町の歯医者「MI総合歯科クリニック」のデンタルエステ

デンタルエステ

オフィスホワイトニング 1回

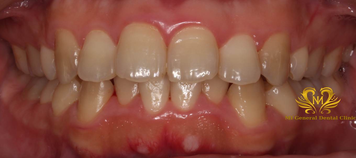
治療前

治療前

治療後

治療後

シェードガイドS30でした。

S30→S22まで白くなりました。

患者様の年齢

28

患者様の性別

男性

治療期間

2日

治療費

2回(カウンセリング1回+施術1回)

治療で得られるメリット

短期間で歯を削らずに歯の色を白くできる。

自然な健康的な歯の白さを得ることができる。

セルフホワイトニングではできない白さを手に入れられる。

治療する際に起こるリスク・副作用

ホワイトニングの結果は個人差がある。

しみることがある。

虫歯があるとできないことがある。

後戻りがある。

三島・長泉町の歯医者MI総合歯科クリニック

〒411-0943
静岡県駿東郡長泉町下土狩181-4

TEL:055-988-1185(患者様専用)

月・水・金9:00~13:00 / 14:30~18:00

9:00~13:00 / 14:00~18:00

木・土9:00~13:00 / 14:00~17:30

休診日日曜・祝日

三島の歯医者「MI総合歯科クリニック」
初診・定期検診 WEB予約 TEL お電話でのお問い合わせ 当日予約はお電話で
ご連絡ください
Tel. 055-988-1185
診療
カレンダー